사탕이 심장이 뛴다🍬
쓰리라인 임테기, 난황확인 그리고 첫 심장소리

아기집 확인 후 원포를 졸업하고
윤경이가 알려준
쓰리라인 임테기를 구매했다


3줄 까지 나와야 아기 심장소리도 들을 수 있다더라
첫 쓰리라인은 아기집 보고온 날 해봤는데,
맨 앞은 거의 시약선 정도였다.
25.3.22 결과

이틀 지나고 다시 해봤을 때는
1번이 조금 진해짐
25.3.24 결과

3일 뒤 첫번째가 비슷하게 찐해짐!!!
25.3.27 결과

그리고 비슷하게 진해졌을 때
산부인과 가서 확인한 난황,,💛
(3/20 아기집 , 3/27 난황)


아기집은 1.15cm로 커졌고
그 안에 0.46cm의 난황이 생겼다 !!!
인터넷에서 임테기가 느리게 진해진 경우에는
고사난자로 중간에 유산되는 경우도 많다해서
걱정되서 엄청 떨고있었는데,
아기집도 잘 컸고, 난황도 잘 생겼다해서
안심이 되었다
그리고 윤경이가 보내준 책들📚
예비엄마들은 다 가지고 있다는 대백과 !!!


윤경이도 걱정될 때마다 읽었다는
‘작은 변화에도 걱정이 많아지는 예비 엄마들에게’ 랑
'아빠 5분 목소리’ 까지 3권이나 받았다.
책을 자기 전마다 읽었는데,
내가 이상한게 아니다란 생각도 들고
우리아기는 튼튼할거랑 믿음이 생김!!
나처럼 걱정 많은 임산부들에게 추천,,👍
난황보고 4일 뒤!
쓰리라인 임테기가 역전했다💓
25.3.31

드디어 나도 심장 소리를 들을 수 있는것인가 !!!
마침 저번에 염증검사한게 결과 나왔다해서
겸사겸사😊
3/31에 애플산부인과로 출동!!


이 시기에만 볼 수 있다는 다이아몬드💍
화질이 엄청 선명하진 않지만
난황도 잘 커졌고, 그 위에 예쁘게 자리잡은 사탕이
사탕이는 그새 커서 0.37cm가 되었다👼🏻
(주기는 좀 밀려 5주로)

그리고 처음 들은 사탕이 심장소리
128bpm 으로 잘 뛰고있었다.
첫 심장소리 들을 때 운다는 사람들도 있는데
나는 눈물은 안났고,,
우리 사탕이 건강하게 잘 커주고 있다는 생각에
안심이 되었다.
애플산부인과는 마미톡이 없어서 영상저장은 없고,
사진으로 뽑아주셨다📷
쓰리라인 임테기가 역정되고 심장소리 들은거니
은근 잘 맞는듯!!
분만병원을 알아보라는 말씀에
우리집에서 최대한 가까운 곳으로 찾아봤다
수원사람들이 많이 가고 젤 유명한 곳은
동탄제일병원이였는데,
대기시간도 길다하고 도저히 동탄까지는 못다니겠어서
호매실 세인트마리랑, 망포 리베르
두 곳을 후보를 정했다
직장 원장님께 물어봤더니 세인트마리보단
리베르로 가라고 추천해주셔서
목요일 쉬는날 예약없이 방문했다
(평일 오전이라 대기시간 길지 않았음)
리베르 여성병원은 생긴지 얼마안되서 그런지 엄청 깔끔했다.
상담 간단하게 진행하고
진료실에서 대기했다가 원장님 뵙고 진료봤다.
나는 진료실 3번에서 문종택 원장님께 받음 : )
(문종택 원장님은 엄청 사근사근 하시고,
긍정적이신 원장님이라서 변경없이 잘 다니고 있다)
이전에 검사 받음 보건소 결과지 들고갔고,
갑상선 등등 부족한 부분이 있어서
그 부분만 추가 검사하기로 했다.
(보건소에서 풍진추가하길 잘 한듯)
첫날이라 떨려서 사진 하나듀 없음 ㅎㅎ...
마미톡 등록 30,000원인데,
초음파 영상 받을 수 있다해서 고민없이 결제했고,
첫 진료영상도 마미톡으로 받았다🧡
리베르는 첫 방문 때
이렇게 귀여운 아기양말을 선물로 주신다🧦


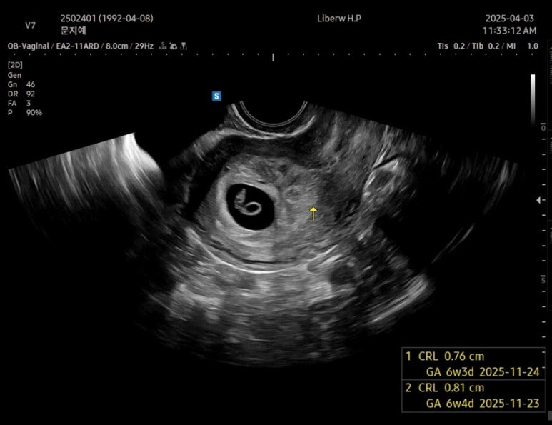
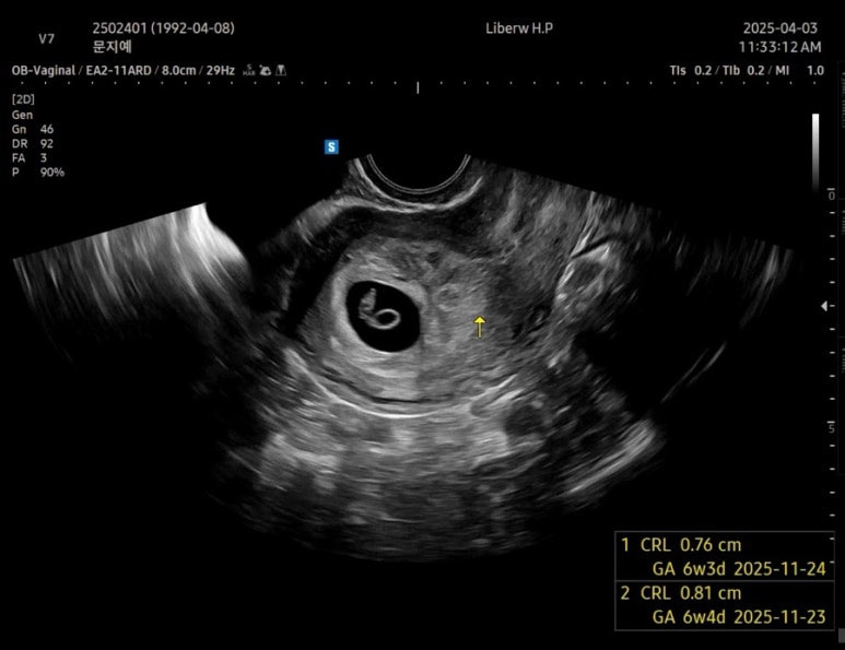
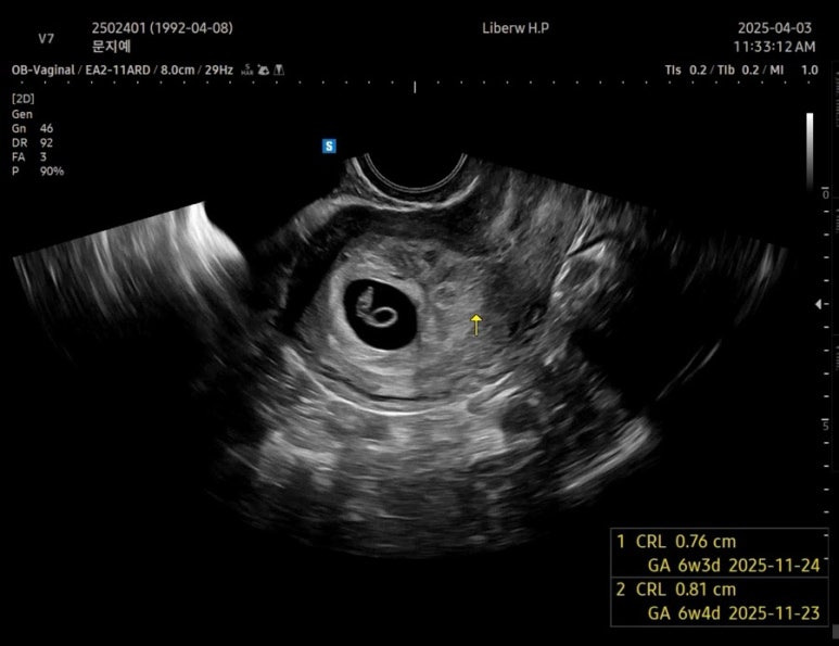
2일만에 쑥쑥커서 0.76cm가 된 사탕이🍬
장비가 좋아서 그런지 초음파가 엄청 선명하다!
드디어 6주 !!!!
예정일은 11월 24일로 변경

차뇨리랑 같이 들은 사탕이 심장소리
튼튼하게 잘 뛰고 있었다
심장박동수는 136bpm
기차소리랑 비슷하면 아들이고,
말발굽 소리랑 비슷하면 딸이라는데,
아무리 들어도 기차소리다👶🏻

많이 커진 난황 👼🏻
마미톡에서 동영상 다운받고 매일매일 돌려보기^^
평일에 오랜만에 쉬기도 하고,
쑥쑥 큰 사탕이 보고 기분좋아져서
스타필드 구경하러갔다.🏃🏻♂️
수원 스타필드에 런던베이글 있어서구경하러 갔는데,
포장은 웨이팅 없어서 바로 들어갔다.
시댁부모님꺼랑 우리꺼랑 잔뜩 사왔지 😋


처음엔 피검사 수치도 낮고
임테기도 진해지지 않아서 걱정이 많았지만
우리 사탕이는 본인속도에 맞춰 쑥쑥 잘 크고 있었다😊
2주 후에 오라하셔서 또 기다림의 시간으로~!
👶사탕이 기록 이전글 보러가기
2025.07.23 - [사탕이 기록들👶/병원기록] - 사탕이 존재 확인🍬 더딘 임테기 진하기, 피검사 더블링 실패, 아기집 확인 | 수원 권선구 보건소 임산부 등록
사탕이 존재 확인🍬 더딘 임테기 진하기, 피검사 더블링 실패, 아기집 확인 | 수원 권선구 보건
사탕이 존재 확인🍬 더딘 임테기 진하기, 피검사 더블링 실패, 작은 아기집 확인수원 권선구 보건소 임산부 등록임테기 2줄 보고 난 후 부터는진짜 걱정인형이 되어버렸다😇나는 원래 걱정 잘
jiye-yol-story.tistory.com
2025.07.23 - [사탕이 기록들👶/병원기록] - 사탕이 만나기까지🍬 배란유도제(페마라, 클로미펜), 배란초음파, 난포주사 과정
사탕이 만나기까지🍬 배란유도제(페마라, 클로미펜), 배란초음파, 난포주사 과정
사탕이 만나기까지🍬 배란유도제(페마라, 클로미펜), 배란초음파, 난포주사 과정23년 7월에 결혼하고 산전검사도 해보고,풍진과 A형, B형 간염 예방접종도 하며,1년동안 좋은 소식을 기다렸지
jiye-yol-story.tistory.com
'사탕이 기록들👶 > 병원기록' 카테고리의 다른 글
| 수원 리베르 여성병원 | 임당 재검 후 임당 확정받다😥 (0) | 2025.09.06 |
|---|---|
| 수원 리베르 여성병원 | 27주차 임당검사와 입체초음파 후기 (7) | 2025.08.22 |
| 사탕이 임밍아웃🍬 임밍아웃카드, 초음파 앨범 구매 (2) | 2025.07.23 |
| 사탕이 존재 확인🍬 더딘 임테기 진하기, 피검사 더블링 실패, 아기집 확인 | 수원 권선구 보건소 임산부 등록 (3) | 2025.07.23 |
| 사탕이 만나기까지🍬 배란유도제(페마라, 클로미펜), 배란초음파, 난포주사 과정 (0) | 2025.07.23 |